口腔问题说大不大,说小不小,不过却直接影响着一个人的外貌,甚至一个人的精神状态,如果牙齿出现严重的问题,甚至会关乎一个人的身体健康,现如今随着经济的发展,越来越多人已经意识到口腔健康的重要性,因此很多人都会定期到专业的口腔门诊就诊。在毕节地区,毕节京州口腔医院是一个不错的口腔医院,但是对于很多的用户来说他们更关心毕节京州口腔医院贵吗?这个问题,因为现在医疗费用都是不便宜的,所以人们在这方面格外的关注,所以下面我们就来给的大家介绍一下毕节京州口腔医院贵吗?以及医院的整体概况。

一,毕节京州口腔医院介绍
毕节京州口腔医院是一家正规的口腔医院,该院由当地卫生部门批准成立,是一家二级口腔医院。医院有众多的追随者,很多当地居民都会定期到该院来做检查。医院建立多年来一直以其精湛的服务备受大众认可,近些年来医院更是引进众多第一诊疗设备能够为来访者提供**的口腔诊疗。

二、毕节京州口腔医院贵吗
毕节京州口腔医院目前的收费标准是不算贵的,目前来说整体的收费都是在合规合理的区间的,不过具体治疗需要多少的费用,这个要看你是做什么项目,用的什么治疗方式,使用的什么材料和药物,具体的治疗价格大家可以参考这个价格表。
| 口腔项目价格表 | ||||
| 项目名称 | 2024年高价 | 2024年低价 | 2024年均价 | 当日参考 |
| 牙齿瓷贴面 | 11285 | 1841 | 6563 | 5906 |
| 烤瓷牙补牙 | 15320 | 1953 | 8636 | 8632 |
| 烤瓷牙种植 | 20383 | 1821 | 11102 | 10469 |
| 全瓷牙种植 | 28993 | 2489 | 15741 | 17149 |
| 美容冠 | 3434 | 1153 | 2293 | 2448 |
| 龅牙矫正 | 10986 | 4149 | 7567 | 6730 |
| 地包牙矫正 | 10406 | 4471 | 7438 | 6792 |
| 虎牙矫正 | 12895 | 2894 | 7894 | 8669 |
| 牙齿不齐 | 25645 | 4598 | 15121 | 15643 |
| 隐适美 | 97987 | 8901 | 53444 | 57745 |
| 隐形正畸 | 90825 | 7395 | 49110 | 54318 |
| 补牙 | 11798 | 804 | 6301 | 6045 |
| 镶牙 | 12486 | 1514 | 7000 | 7391 |
| 牙齿缺损修复 | 12934 | 1064 | 6999 | 6450 |
| 超声波洁牙 | 2179 | 416 | 1297 | 1230 |
| 洗牙 | 2273 | 400 | 1336 | 1421 |
| 牙齿冷光美白 | 2326 | 470 | 1398 | 1334 |
| 牙齿抛光 | 1548 | 346 | 947 | 1017 |
| 半口牙种植 | 13964 | 5578 | 9771 | 8674 |
| 单颗牙种植 | 3190 | 1452 | 2321 | 2272 |
| 多颗牙种植 | 15768 | 2460 | 9114 | 8559 |
| 全口牙种植 | 53792 | 8689 | 31240 | 30117 |
| 种植牙 | 19281 | 1630 | 10455 | 9876 |
| 以上价格仅供参考,实际价格请到医院面诊获取! | ||||
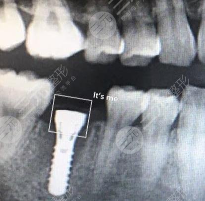
三、毕节京州口腔医院种植牙分享
前段时间吃东西的时候,突然咯噔一声牙齿出现了断裂,此前这个牙齿就因为龋坏,已经修修补补多次,想来这一次再也不能就修补了,后来我此前看牙的门诊医生建议我到毕节京州口腔医院做种植牙。该院的种植牙是医院的第一项目,技术较为娴熟,能够给予来访者专业的植牙服务。

我在家人的陪同下来到医院做诊疗,里面的医生护士,态度都极为的亲切,医生查看以后建议我采用钛合金种植牙,钛合金和人体有较好的相容性,跟真牙并没有太大的差异,较重要的是,其稳定性较高,可以长期存在于人体,功能性较好。

种植牙说白了,就是装入一个义齿,不过与普通的义齿不同,这个牙齿不论是从外观以及功能性上都和真实的牙齿并没有太大的差别。在口腔医院这个种植过程主要分两步进行,第1步是牙根的植入,第2步是牙冠的镶嵌。整个过程,医生给我留下极为深刻的印象,他会仔细的告知于我他要进行哪个步骤,就让我安心不少,毕竟在看牙的时候,人或多或少的会有一种恐惧感。

这一操作极大的消除了我的恐惧感,医生护士的技术极为的娴熟,整个过程较为的利落。种植牙做完后,口腔并没有任何的不适感,正如医生所言总值好的牙齿,功能性较好,吃冷的,甜的都没有任何的感觉。不过,医生后面也嘱咐我要定期的看牙,以免牙齿发生严重龋坏。在这里我也要建议所有的小伙伴在看牙的时候,一定要选择一家正规的机构去做治疗,而日常生活当中也要注意保护牙齿。

以上关于【毕节京州口腔医院贵吗?收费标准怎么样?附价格表】的内容只是一个大概,想了解更多整形知识、价格信息,可以点击 【在线咨询】一对一沟通
