镇江口腔医院看牙贵吗?目前来说牙齿方面的治疗保养费用,一直都不是很便宜的,这些如果大家了解过都知道的,哪怕是在镇江这个地方一样是这样的。口腔医院是当我们口腔出现疾病问题时会选择的医疗机构,但是口腔医院有的时候也有好坏,不能贪图小便宜宜去选择一家正规的口腔医院,这样会可能导致很严重的后果,但是很多人又不清楚口腔医院的收费,所以较近就有人咨询镇江口腔医院看牙贵吗?据了解这家医院是正规医院,镇江口腔医院是本地一家获得了卫生局严格审核批准成立的正规口腔专科医院,那么下面我就来给大家具体介绍一下这家医院。

一、镇江口腔医院简介
镇江口腔医院是镇江本地经过镇江卫生局严格审核后批准成立的正规口腔专科医院,迄今为止已经有着50年的历史了,是一家地地道道的成立很多年医院,这家医院是镇江市二甲级专科口腔医院,但是对于三甲口腔医院来沈阳也是毫不逊色的,医院内的医生都是毕业于知名口腔医学院的一生,拥有着较为丰富的临床知识,对于各种疑难杂症问题,都能够很好的进行治疗,并且医院内的选材都是十分优质的,是由国际进口的品质,第一的材料,院内的设备也十分良好,都是引进了国际上较为良好的医疗设备,基本可以做到良好医疗设备配套齐全。医院的环境也是十分的温馨,能够让患者有种到家里的感觉,让患者在轻松的情绪下完成口腔方面的治疗,并且医院十分注重患者隐私,采用了独立诊室来充分保护患者的个人隐私。而且会定期进行杀菌消毒来避免交叉感染,在当地拥有着十分高的人气。

二、镇江口腔医院看牙贵吗
目前来说大多数的口腔医院价格都不是很贵的,如果只是做简单的项目那么价格是较为划算的,但是如果是做牙齿矫正或者是种植牙齿这类项目的话费用会相对来说高很多,但是收费都是在合规的标准内的,所以目前来说镇江口腔医院看牙贵吗?其实是不贵的,而且这家口腔医院是公立的医院,所以收费上面都是透明的,也是不会诓骗消费者的,具体的收费大家可以参考下面这个表。

| 镇江口腔医院价格表 | ||||
| 项目名称 | 2024年高价 | 2024年低价 | 2024年均价 | 当日参考 |
| 3DS超薄瓷贴面 | 9257 | 3227 | 6242 | 6673 |
| 牙齿瓷贴面 | 11209 | 1581 | 6395 | 6009 |
| 烤瓷牙补牙 | 13506 | 1569 | 7537 | 7923 |
| 烤瓷牙种植 | 21920 | 1463 | 11691 | 11332 |
| 全瓷牙种植 | 27105 | 2462 | 14783 | 14129 |
| 美容冠 | 3809 | 1420 | 2614 | 2814 |
| 龅牙矫正 | 10563 | 5000 | 7781 | 8790 |
| 地包牙矫正 | 11857 | 4474 | 8165 | 7132 |
| 虎牙矫正 | 12491 | 2798 | 7644 | 7602 |
| 隐适美 | 89207 | 7187 | 48197 | 55956 |
| 隐形正畸 | 91753 | 9457 | 50605 | 44988 |
| 补牙 | 11783 | 749 | 6266 | 6270 |
| 镶牙 | 11247 | 1697 | 6472 | 6344 |
| 牙齿缺损修复 | 11245 | 1220 | 6232 | 6343 |
| 超声波洁牙 | 2356 | 431 | 1393 | 1311 |
| 洗牙 | 2247 | 400 | 1323 | 1213 |
| 牙齿冷光美白 | 2174 | 490 | 1332 | 1352 |
| 单颗牙种植 | 2633 | 1420 | 2026 | 2003 |
| 多颗牙种植 | 15209 | 2917 | 9063 | 7891 |
| 全口牙种植 | 64601 | 9927 | 37264 | 42717 |
| 种植牙 | 18906 | 1438 | 10172 | 9767 |
| 以上价格仅供参考,实际价格请到医院面诊获取! | ||||
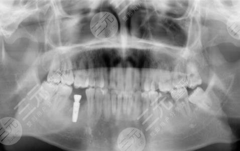
三、镇江口腔医院种植牙经历分享
因为我真的十分喜欢吃糖,也就是很喜欢甜食,几乎每天都有很多的糖摄入,有的时候连吃米饭我想要吃甜的,这就导致了我的年纪轻轻牙齿就蛀了,因为糖吃多了,刚开始的时候还只是进行补牙,但是随着时间越来越久,我的牙齿的孔洞越来越大,然后没有办法就是拔掉了,我想着一直去补也不是问题,就跟父母商量之后,来到了镇江口腔医院进行种植牙。


医生看了我的牙齿情况之后,为我判断了几颗比较需要进行种植牙的地方进行了拔除。大概在拔完牙,一星期后我进行了种植牙,刚种上的时候还是觉得挺不舒服的,但是随着时间的推移,我逐渐适应了自己的种植牙,并且种植的牙齿比之前更加洁白,它不单单解决了我的口腔问题,还让我整个人的气质都上升了不少呢。

以上关于【镇江口腔医院看牙贵吗?附价格表+种植牙经历分享】的内容只是一个大概,想了解更多整形知识、价格信息,可以点击 【在线咨询】一对一沟通
