成都武侯君臣口腔,是国内口腔连锁品牌,也是医保定点单位,在成都设有6家旗舰分院。君臣口腔成立于2003年,由华西口腔精英的医生团队共同创建。

现有医护人员上百人,服务过的顾客达数十万,是成都地区规模宏大、实力雄厚的专业齿科诊疗机构,在成都牙科排名榜上位置显赫!

君臣口腔以“打造口碑牙科品牌”为愿景,为蓉城市民提供健康科学的齿科服务!
成都君臣口腔诊疗项目及特色技术介绍
君臣齿科设有牙齿种植、牙齿正畸、美学修复、牙齿美白、综合治疗、儿童牙科等六大重点科室。特色技术有:
1、微创种植牙——即拔即种,5-10分钟,一次成型。精准定位,精准植入,无缝对接。微小切口,微创微痛,快速愈合。
2、数字化美学矫正——传统金属托槽矫正、氧化铝透明托槽陶瓷矫正和隐形矫正。
3、全瓷美牙冠——烤瓷牙和全瓷牙治疗各种问题牙齿。
成都君臣口腔怎么样?君臣齿科拥有经验丰富的医生团队,为您的牙齿健康保驾护航!

种植牙医生——王君臣、董彰实、陈希霖、王荣华、唐建玲等;
正畸医生——林建昌、唐晓欢、贾豫文、唐建玲、何伟丽、林彦廷等;
综合牙科医生——刘洪、付利、宋明辉、严宝库、陈海涛、徐艳、李百成等;
儿童牙科——叶朝美、陈春兰、毛茗、周晓、梁惠等。
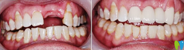
成都君臣口腔看牙好不好?展示门牙缺失种植前后效果对比图片:

成都矫正牙齿价格高吗?武侯君臣口腔价目表公布:
超声波洗牙:520元—680元;
冷光美白:999元—1900元;
美加超薄瓷贴面:3300元—3890元;
金属托槽矫正:6680元—8900元;
隐适美隐形矫正:38800元—45000元;
时代天使隐形矫正:29000元—36700元
德国ICX种植牙:8900元—10000元每颗。
成都正规口腔矫正牙齿哪家好?看了君臣口腔龅牙、歪牙正畸案例就知晓:

网络预约还可享受专属特价:
1、口腔基础免费检查;
2、纳米树脂补牙188元起/颗,可刷医保;
3、烤瓷牙特价380元/颗,可刷医保;
4、进口种植牙4980元起/颗,免费拍CT;
5、牙齿正畸特价6680元起/口,免拍片取模及方案设计费。
