宁波千口百惠是一家专业连锁口腔医疗机构,被评为“宁波市窝沟封闭预防龋齿项目指定医疗机构”,在卫生局和教育局的大力支持下,逐步发展强大,目前在宁波地区已成立四家分院,全新的经营理念和服务方式为顾客提供全方位的口腔诊疗服务,在宁波口腔排名榜上,也是名列前茅。
开设的诊疗项目:牙齿种植、牙齿矫正、隐形正畸、美白牙齿、美容修复、牙齿治疗、保健护理、根管治疗、洁牙洗牙等。

宁波千口百惠口腔好吗?
千口百惠口腔以数字化的口腔模式,高品质的服务,优雅的环境、专业的医生,先进的诊疗设备体现了“精于工,专于术”严谨精密的特质,坚持给顾客一点关爱,一个祝福,一杯暖茶服务理念,为宁波市民提供高品质的口腔服务。
医生团队:
宁波千口百惠专科口腔,拥有实力雄厚,技术全面的医疗团队由种植医生李世恒,正畸医生岩菊,牙齿矫正医生魏晓毅,口腔修复医生张玉涛等打造了舒适化的口腔诊疗服务,让每一位来院的顾客都能拥有健康美丽的牙齿。

刘世恒擅长:即刻种植固定恢复、种植牙、德国ICX种植术、无托槽矫正、传统矫正、贴面美学修复等;
张玉涛擅长:美学修复、固定桥修复、全瓷牙美学设计、复杂牙和埋伏牙等牙齿的拔除、根管治疗等 ;
岩菊擅长:时代天使无托槽隐形矫正、3M舌侧矫正、牙齿正畸、错位畸形的固定矫正、替牙期畸形矫治、隐形矫正。
宁波千百惠口腔价格表:
拔牙:120元-350元
根管治疗:300元-600元
烤瓷牙:600元-2500元/颗
牙齿矫齿:9800元-40000元
全瓷牙:2800元-9600元/颗
种植牙:6900元-26000元/颗
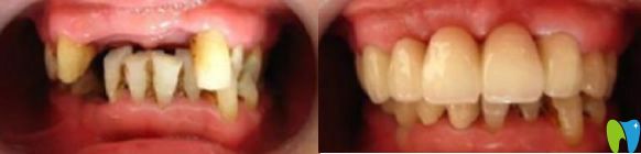
宁波千口百惠半口牙缺失真人种植案例:

你看,千口百惠口腔种植牙效果怎么样?
千口百惠口腔,本土口腔,以激情的脉搏带动科技的健康发展。扎实精湛的技术和完善贴心的服务,满足周边地区口腔健康的需求,给顾客制造一个卫生安全,服务周到的诊疗环境,给每一为来院的顾客提供全方位的口腔诊疗服务,让爱美者都能拥有健康洁白的牙齿。
